Description
The modular CT unit is a high-technology, versatile solution developed by the Company’s experts within the scope of fighting COVID-19. The equipment is fitted out with all necessary components for emergency CT scans outside the healthcare facility in the mode of a standard computed tomography room. The modular CT unit shall include the following:• the modular unit for the accommodation of the computed tomography system fitted out with all systems, which are necessary for normal functioning of the CT room
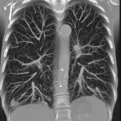
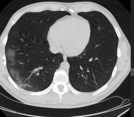
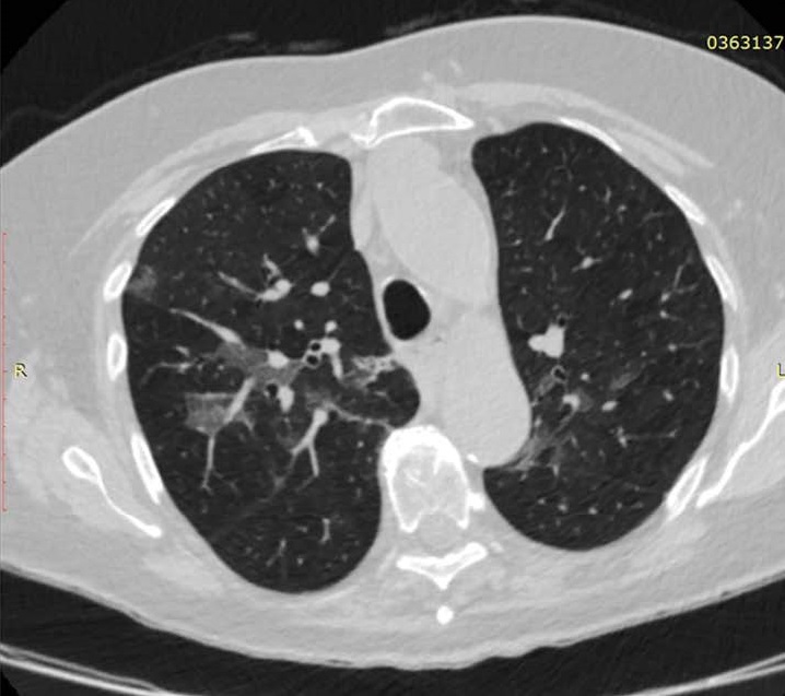
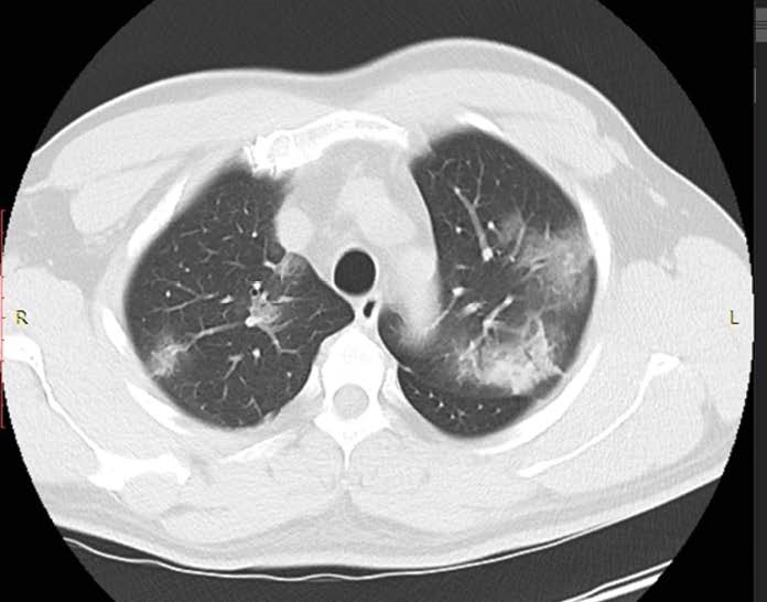
• the computed tomography system 64-slice manufactured by NIPK Electron Co. for primary assessment and differential diagnostics of chest diseases, as well as for revealing concomitant diseases. The modular CT unit can be equipped with a computed tomography system with another slice number as an option. According to the interim methodological guidelines “Prevention, Diagnostics, and Treatment of a new Coronavirus Infection” developed by the Ministry of Health of Russia, a CT scan is considered one of the basic methods of COVID-19 diagnosis.
The key specific feature of the modular CT unit is in the innovation disinfection and ventilation system which ensures diagnostic imaging safety during the pandemic.
The modular CT unit manufactured by NIPK Electron Co. is a versatile solution providing broad diagnostic possibilities for operating the equipment in both civil and military medicine. The module is fitted out with state-of-the-art engineering solutions ensuring operation in the autonomic mode.
The computed tomography system 64-slice (CT) installed in the module unit is equipped with a wide set of specialized software applications for diagnostic imaging in patients with respiratory disorders, vascular abnormalities, cancer, as well as for assessment of cerebral, renal, and hepatic blood supply. Thanks to this, CT is in high demand not only during the COVID-19 pandemic.
The tomography system is equipped with all modern programs and algorithms to perform examinations with the minimum exposure dose and breath-holding for the shortest possible time. The module shall be transported in a road trailer and installed in any required site; it can be deployed within several hours. The location of the modular CT unit can be changed at any time. If necessary, it can be connected with the main building of a healthcare facility, which allows using it as a permanent CT room.
Introduction of this solution allows the users to:
• Rapidly arrange the operation of a computed tomography room
• Quickly increase the diagnostic capacity of the healthcare facility
• Enhance the throughput up to 12 patients per hour with disinfection after each examination
• Lower the infection risk due to absence of the direct contact between the patients and medical staff
The modular CT unit meets all requirements and standards of the Russian Sanitary Norms and Regulations including those concerning radiation safety of the patients and staff during X-ray diagnostic procedures.
The equipment is supplied with the full document package for obtaining the opinion issued by the local body of the Federal Service for Surveillance on Consumer Rights Protection and Wellbeing in order to commission the CT room.
Benefits
Innovation disinfection system- For the maximally effective disinfection, two simultaneously operating disinfection systems are provided in the module unit: the aerosol system (spraying the ClO2 solution through nozzles in the “red” zone) and ultraviolet air recirculation units. After completing a disinfection cycle in the “red” zone, the air is conditioned and dried by a powerful ventilation system which replaces the air fully and removes moisture left after spraying. It is possible to use the systems in the automatic mode to increase the throughput (the operation frequency is set in advance when commissioning the modular CT unit). СA technician controls the system directly from his/her workstation.
Safety
-
The risk of infection of the patients and medical staff is ruled out due to the following:
• Elaborated patient routing. All rooms of the module-unit are divided into the “red” and “green” zones, which exclude direct contact between the patients and the staff. The patients stay in the “red” zone, while workstations of the radiology technician and the radiologist are located in the safe “green” zone
• Separation of the patient flow to BEFORE and AFTER the examination due to the separate entrance and exit
• Innovation disinfection system and powerful ventilation system operated in the automatic mode
Mobility
- Delivery of the equipment in an automobile trailer. Possibility to change its location at any time as required
Do you have any questions?
Saint Petersburg: +7 (812) 325-02-02


